NK细胞是人体免疫系统中关键的免疫调节细胞,在癌症免疫监视环节承担着核心作用,是机体抵御肿瘤细胞的重要防线。在临床研究领域,NK细胞治疗的应用价值已得到充分验证,无论是单独采用该疗法,还是将其与其他药物联合施治,所展现的治疗效果均在多项临床试验中得到广泛证实
在众多癌症治疗技术中,免疫细胞治疗因其显著的临床潜力,被公认为当前最具前景的治疗方式。这种治疗方式并非依赖外部药物的直接作用,而是以人体自身免疫系统为核心,借助精准激活免疫功能、挖掘免疫潜能的方式,精准作用于肿瘤细胞,进而实现对肿瘤的抑制与清除。
值得关注的是,在各类用于免疫疗法的免疫细胞中,自然杀伤(NK细胞)表现出了尤为巨大的应用潜力。
此前,北京经济技术开发区发布的相关产业高地建设行动计划(2023-2025年),也已将包括NK细胞在内的多类免疫细胞治疗纳入重点支持范围,为该领域的技术研发与产业落地提供了有力保障。

PART 01 一个NK细胞可以杀死27个癌细胞
与其他免疫细胞不同,NK细胞最显著的优势在于无需经过激活流程,就能直接投入“战斗”,精准清除异常细胞。凭借反应敏捷、杀伤范围广泛的特点,它不仅被称作免疫军团里的“特警”部队,更成为了抵御外界威胁、守护人体健康的“第一道防线”。

相关研究数据显示,正常人体内的NK细胞数量存在一定范围,最少不低于50亿个,最高可达到1000亿个。更值得关注的是,单个NK细胞的杀伤能力十分突出,经证实可成功消灭27个癌细胞。只要将NK细胞的含量维持在正常范围内,将它的活性保持在最高,就能够成为机体抗衰老、保健康的中坚力量。
PART 02 NK细胞的集体作用
免疫监视:NK免疫细胞能高度识别、监视体内细胞病变,防止超敏反应,执行免疫监视和抗肿瘤的作用。
清除病原体:NK免疫细胞具有抵抗外来细菌和病毒的作用,在病毒感染时不需要抗原刺激,可产生细胞因子,例如白细胞介素、干扰素等因子,对肿瘤的发生和感染起到一定的杀伤作用。
抗衰老:免疫细胞可诱导衰老、坏死的“僵尸细胞”凋亡,从而提升精力、体力、延缓衰老,保持年轻态。
杀伤肿瘤细胞:NK细胞是机体重要的免疫细胞,可靶向性杀伤肿瘤细胞,是未来治疗肿瘤的体细胞。
调节人体免疫功能:NK细胞还可以调节人体免疫功能,防止产生免疫功能异常以及自身免疫性疾病。
PART 03 NK细胞在癌症治疗中的临床应用
NK细胞对几乎所有常见的癌细胞类型都有杀伤作用,包括肺癌、肝癌、卵巢癌、乳腺癌、结直肠癌、淋巴癌、食道癌等,以下重点分享5个具有代表性的癌症。
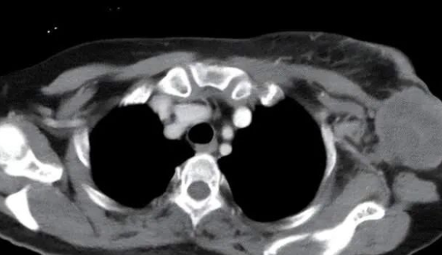
01 肺癌:效果显著,转移灶消失
南开大学罗延安教授和天津医科大学肿瘤医院、美国布朗大学的研究者共同发表在《Thoracic Cancer》的一篇文章,介绍了脐血NK细胞治疗在转移性广泛期小细胞肺癌中的应用。

2021年9月,一名67岁的男性患者因常规体格检查显示右肺上叶胸膜下方存在结节,但患者未引起重视,未接受治疗。
到了2022年5月,患者病情加剧,被诊断为转移性小细胞肺癌,原发病灶位于右上肺,伴有多发性胸膜和腹腔转移,伴随纵隔淋巴结肿大。
局部放疗后,患者使用联合方法治疗。联合治疗方法涉及免疫检查点抑制剂PD-L1增强的外源性过继转移NK细胞联合治疗,联合抗血管生成靶向治疗。
治疗后,患者局部病灶完全缓解,有效避免了上腔静脉综合征的风险。经过六个周期的联合治疗,大部分转移性病灶消失,其余转移性病灶明显缩小。此外,患者体内多处结节明显减少。
结果表明,脐血NK细胞疗法在联合其他治疗手段下,对广泛期小细胞肺癌的治疗效果显著。
一项发表在《Precis Clin Med》上的临床研究,调查了NK细胞联合靶向药治疗对有/没有EGFR突变晚期肺腺癌的有效性,以评估反应率和无进展生存期。
结果表明,NK细胞联合第二代靶向药阿法替尼显著提升治疗效果,缓解率从16.7%提升到75%,中位PFS从6个月提升到9个月。值得注意的是,该研究纳入的EGFR阳性患者之前已使用第一代靶向药吉非替尼治疗,且均已耐药。
02 肝癌:疾病控制率达71.4%
据研究发现,在原发性肝癌组织中,NK细胞数量明显比其它正常组织中要低,且NK细胞的活性显著降低,而体外培养的NK细胞对肝癌细胞表现出明显的杀伤作用。因此,NK细胞免疫疗法在治疗肝癌拥有潜在应用价值。
发表在《Journal of Modern Oncology(现代肿瘤医学)》研究报告,来自国内的研究人员对2016 年2月~2017年9月收治的17例肝癌患者进行了NK细胞免疫治疗,向患者体内注射了在体外增殖的高活性NK细胞,并对患者病情进行了追踪观察和检测。

结果显示,经NK细胞免疫治疗后,所有患者的客观缓解率为14.3%,疾病控制率为71.4%;从短期临床疗效上看,接受疗程数多的患者疗效稍好于接受疗程数少的患者,且治疗前后,患者均无不良反应出现,这充分说明了NK细胞免疫疗法的安全性、有效性。
同时,解放军总医院发布了一项令人振奋的研究成果,宣布其在NK细胞治疗恶性肿瘤方面取得了显著进展,特别是在晚期肝癌的治疗中,控制率达到了惊人的80%。
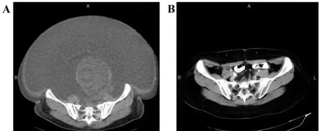
03 卵巢癌:腹水消失,肿块体积减小
国内一名60岁的卵巢癌晚期患者,在接受了体外扩增,高度活化的同种异体NK细胞的治疗后,CA125水平从11,270降至580,所有腹水都消失了。此外,CT扫描的肿块体积减小,并且没有出现副作用。

有一项研究NK细胞治疗卵巢癌的临床试验,收集包括14名卵巢癌患者,他们先接受了化疗的预处理,然后接受异体NK细胞和IL-2的静脉内灌注。尽管没有观察到NK细胞在体内的持续扩增,但治疗后三个月的CT扫描显示,4名患者实现了部分缓解,8名患者病情稳定。
04 乳腺癌:病情缓解,无进展生存期延长
43岁陆女士,2019年5月无意间发现左乳肿块,未予重视,但随后肿块逐渐增大,而且伴有疼痛,于是便前往医院就诊,确诊为乳腺癌。

陆女士当前的情况无法实施根治性手术,尝试过化疗、中医调理等多种方法,肿块不仅没有缩小,还发生了转移。
考虑到陆女士目前已经出现多发转移,加上对化疗耐受性差,因此经过专家的商议,最终为制定了 NK细胞疗法,后来通过CT显示,胸壁肿块及腋窝淋巴结明显缩小,肺转移灶明显缩小。
经过多个疗程化疗后,疗效评估为部分缓解,无进展生存达10月后,胸壁病灶局部缓慢增大后联合放疗再次病情稳定,总的无进展生存达22个月。
05 结直肠癌:延长生命长度,提高存活率
《国际分子科学杂志》上的一篇题为“Evaluating the Safety and Quality of Life of Colorectal Cancer Patients Treated by Autologous Immune Enhancement Therapy (AIET) in Vinmec International Hospitals”的研究论文,研究者评估了12例III期和IV期结直肠癌患者接受不同数量的自体NK免疫细胞输注后的安全性、有效性以及生存期情况。

研究结果进行了评估总结,参与研究的受试患者的平均生存期,与入组时的预估生存期相比,存活率提高了约1.8倍。
LIFE SEEK写在最后
NK细胞是人体免疫系统中关键的免疫调节细胞,在癌症免疫监视环节承担着核心作用,是机体抵御肿瘤细胞的重要防线。在临床研究领域,NK细胞治疗的应用价值已得到充分验证,无论是单独采用该疗法,还是将其与其他药物联合施治,所展现的治疗效果均在多项临床试验中得到广泛证实。目前,针对NK细胞治疗的后续临床前研究仍在持续推进,相关探索不断向深度和广度延伸。基于现有研究成果与持续的科研探索,我们完全有理由期待,NK细胞治疗将成为极具发展前景的癌症治疗方案,未来有望为更多癌症患者带来治疗新希望,让更多患者从中获益。
以上内容均源于公开发表的文献、学术会议报道或媒体信息,仅供用户了解细胞行业资讯,内容不代表任何药品推广观点或用药建议,亦不能替代医生的独立专业判断,部分图片来自网络,侵删。
关于生命求索
作为国内实现「细胞技术+AI +临床服务+软硬件解决方案+人才培养」全链条赋能的平台型企业,生命求索依托深厚行业积淀的专家团队与自主创新技术体系,提供细胞产、学、研、用整体解决方案。

科研成果转化主要有:细胞智能方舱实验室、TIL细胞、免疫细胞、干细胞、外泌体等。
旗下大模型平台:LIFESEEK 生命求索--国内基于DeepSeek的细胞产业全链条AI大模型平台。
