干细胞,被誉为人体内的“万能细胞”或“起源细胞”,其核心价值在于两大独特属性:无限的自我更新能力与多向分化的潜能。
近日,国际顶级学术期刊《Nature》发布观点指出,曾被视为遥远未来的干细胞治疗,正快速跨越实验室与研究性临床的边界,有望在未来5至10年内实现大规模临床应用。这一权威预测标志着再生医学领域一个关键转折点的到来,长期以来困扰人类的诸多难治性疾病,或将因此迎来全新的治疗曙光。

生命的“种子”:干细胞的多维潜能
干细胞,被誉为人体内的“万能细胞”或“起源细胞”,其核心价值在于两大独特属性:无限的自我更新能力与多向分化的潜能。它们如同精密的生命工厂,能够根据机体需要,持续产生新的细胞,并进一步分化成构成我们身体的各种功能细胞——无论是奔流不息的血液细胞、坚不可摧的骨骼细胞、充满弹性的皮肤细胞,还是构成力量的肌肉细胞。这些由干细胞分化而来的“种子细胞”,承担着组织发育、日常更新与损伤修复的重任,是维持生命活力与健康的底层基石。

基于这些特性,干细胞疗法展现出广阔的应用前景,其作用机制主要围绕以下几个核心方面展开:
组织修复与再生:当机体组织或器官因疾病、损伤或衰老而功能受损时,干细胞能够被诱导分化为特定的功能细胞(如心肌细胞、神经细胞),直接替代那些凋亡或功能丧失的细胞。同时,它们还能分泌多种活性因子,为受损区域提供营养支持,激活内源性修复机制,从而实现结构的重塑与功能的恢复。
免疫调节与平衡重建:在自身免疫性疾病中,免疫系统会错误地攻击自身组织。干细胞具有显著的免疫调节功能,能够影响T细胞、B细胞等多种免疫细胞的活性,并抑制过度的炎症反应,帮助机体重建健康的免疫平衡,为治疗诸如类风湿关节炎、系统性红斑狼疮等疾病提供了新策略。
对抗衰老进程:在细胞层面,衰老伴随着功能减退、损伤累积。干细胞通过清除衰老细胞、促进胶原蛋白等胞外基质的合成、修复受损的DNA等多种途径,改善组织微环境,从根源上延缓机体的衰老过程,提升整体健康水平。
代谢稳态的恢复:对于糖尿病等代谢性疾病,干细胞可以通过分化为能够分泌胰岛素的β细胞,或通过改善外周组织对胰岛素的敏感性,来有效调节糖脂代谢,帮助机体恢复代谢稳态。
随着研究的深入,全球范围内不断涌现的成功临床案例,为干细胞疗法的有效性提供了令人振奋的实证。
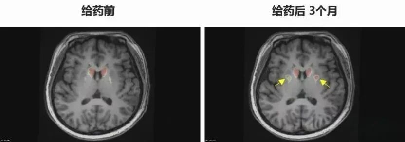
在神经系统疾病领域,挑战传统的神经退行性疾病看到了希望。一位37岁的遗传型帕金森病患者李女士,曾因传统药物疗效减退并出现严重的“开关现象”而备受折磨。今年6月,她在中国科学技术大学附属第一医院接受了基于诱导多能干细胞技术分化的多巴胺能神经前体细胞移植。术后仅三个月,她的运动症状显著改善,“关期”消失,行动恢复自如,表情也变得自然,实现了令人瞩目的“功能性治愈”。这为阿尔茨海默病、帕金森病等患者照亮了前路。

对于深受骨关节退行性疾病困扰的患者,干细胞疗法提供了修复的可能。例如,一名遭遇严重颅骨多段骨折的7岁女童,在接受结合了自体脂肪干细胞和传统骨移植物的创新治疗后,骨折部位在三个月内顺利愈合,展现了干细胞在促进复杂骨缺损修复方面的巨大潜力。这为骨关节炎、软骨损伤等常见病的根治性治疗带来了新思路。

在生殖与内分泌系统疾病的治疗上,干细胞同样取得了里程碑式的成果。2018年,来自南京鼓楼医院的报道称,通过参与经权威部门批准的脐带间充质干细胞治疗卵巢早衰临床试验,一位患者在接受移植后短短四周内便成功怀孕,并最终诞下一位健康的婴儿。这是我国在该领域临床研究的首例成功诞育,为无数受困于卵巢早衰、性功能障碍的家庭带来了新生的希望。
在皮肤修复与抗衰老应用方面,干细胞技术也展现出惊人效果。45岁的美国企业家布莱恩・约翰逊,通过一套包含干细胞疗法在内的综合性前沿抗衰老方案,在7个月内将其整体生理年龄成功逆转了5.1岁。评估数据显示,他拥有了相当于37岁的心脏、28岁的皮肤以及18岁的体能状态,凸显了干细胞在改善机体机能、延缓衰老外观方面的应用潜力。
面对复杂的自身免疫性疾病,干细胞疗法显示出独特的优势。南京鼓楼医院孙凌云教授团队对81名常规治疗无效的重度难治性系统性红斑狼疮患者,进行了异体间充质干细胞治疗。长达五年的随访结果表明,患者总生存率高达84%,其中超过半数患者获得了症状上的有效缓解,为这类疾病的长期控制提供了全新武器。
对于全球高发的糖尿病,干细胞疗法正试图从根源上解决问题。上海长征医院殷浩团队与中国科学院程新团队的联合研究,成功将一名糖尿病患者的自体血液细胞重编程为诱导多能干细胞(iPSC),进而将其定向诱导分化成功能性的胰岛样细胞,并通过微创手术经肝门静脉移植回患者体内。移植后,患者受损的胰岛功能得到显著恢复,血糖水平实现了长期稳定,向着“治愈”糖尿病迈出了关键一步。
展望未来:挑战与机遇并存
尽管前景光明,但干细胞疗法要实现《Nature》预测的大规模临床应用,仍需跨越标准化生产、长期安全性验证、伦理法规完善以及成本控制等关键障碍。然而,全球科研界与医疗产业正以前所未有的速度与协作精神推进相关研究。每一次技术的突破,每一个成功的病例,都在加速这一革命性医疗时代的到来。
未来五到十年,我们有望见证干细胞疗法从目前的个体化、探索性治疗,逐步转变为某些特定疾病的标准化治疗方案。它不仅是针对末路疾病的最后希望,更可能成为提前干预、逆转病程的主动健康管理手段,最终重塑人类对抗疾病、追求健康寿命的格局。一个由干细胞疗法引领的再生医学新时代,已清晰可见。
以上内容均源于公开发表的文献、学术会议报道或媒体信息,仅供用户了解细胞行业资讯,内容不代表任何药品推广观点或用药建议,亦不能替代医生的独立专业判断,部分图片来自网络,侵删。
关于生命求索
作为国内实现「细胞技术+AI +临床服务+软硬件解决方案+人才培养」全链条赋能的平台型企业,生命求索依托深厚行业积淀的专家团队与自主创新技术体系,提供细胞产、学、研、用整体解决方案。

科研成果转化主要有:细胞智能方舱实验室、TIL细胞、免疫细胞、干细胞、外泌体等。
旗下大模型平台:LIFESEEK 生命求索--国内基于DeepSeek的细胞产业全链条AI大模型平台。
