免疫细胞的活力是抵御疾病、维持健康的基石,其一旦受损便会引发机能衰退。
每到季节交替时,医院感冒、过敏、肠胃不适的患者明显增多。这背后隐藏着一个被忽视的健康杀手:换季时期的免疫力危机。
作为人体最重要的防御系统,免疫系统在季节更替时为何会频频"掉链子"?我们又该如何为它"充电"?
01
免疫系统的
“季节盲区”
人体免疫系统就像一支24小时待命的特种部队,但当外界环境剧烈变化时,这支精锐部队也会出现短暂的"战术混乱"。
温度波动的"免疫干扰"昼夜温差超过8℃时,人体需要额外消耗能量维持体温稳定。哈佛大学研究显示,体温每下降1℃,免疫力会暂时降低30%。
日照变化的"生物钟干扰"秋季日照时间缩短会影响褪黑素分泌节律。斯坦福大学研究发现,生物钟紊乱可使免疫细胞活性降低15%-25%。
湿度变化的"黏膜危机"当空气湿度低于40%时,呼吸道黏膜纤毛运动效率下降50%,这道重要防线出现漏洞。
研究表明,季节交替时人体免疫球蛋白水平会下降10%-15%,自然杀伤细胞(NK细胞)活性降低约20%。这种免疫功能的暂时性衰退创造了致病原入侵的"黄金窗口期"。
三大免疫危机信号
黏膜防线失守:鼻腔、咽喉等呼吸道黏膜在干燥环境下防御能力下降,病毒更易附着。
免疫细胞"反应迟钝":T细胞、B细胞等免疫主力军对新入侵病原体的识别速度变慢。
炎症调控失衡:促炎因子和抗炎因子的平衡被打破,容易出现过度炎症反应。
这时候进行细胞干预,相当于给免疫系统“雪中送炭”:补充的免疫细胞能快速增强机体防御能力,及时清除入侵的病原体,从根源上提升身体的“抗风险能力”,为即将到来的秋冬严寒筑牢健康防线。
02
NK细胞
重塑免疫力
NK细胞疗法,全称为自然杀伤细胞疗法,是如今重要的一种细胞免疫疗法之一。它是通过分离出外周血液中的NK细胞,经过在实验室进行体外激活与数量扩增,使其增强机体杀伤能力、提升免疫力,可广泛用于癌症治疗、病毒清除与衰老、亚健康干预。
随着年龄的增长,NK细胞的功能也下降,细胞毒性较差,细胞因子和趋化因子的分泌受损,影响其他免疫细胞类型。研究表明,随着年龄的增长,受刺激的NK细胞产生较少的IFN-γ,这会进一步影响DC成熟和T细胞分化。
NK细胞在抗肿瘤和抗感染中,发挥着不可替代的作用
北京协和医院感染内科主任李太生教授团队国际权威杂志Aging上发表了题为“Aging of immune system: Immune signature from peripheral blood lymphocyte subsets in 1068 healthy adults”的研究文章,分析了1068名健康人外周血淋巴细胞及其亚群随着年龄变化因素数量和比例发生的改变。

图源 | Aging
研究分析表明,在青年(19~44岁)、中年(45~64岁)、老年(65~80岁)人群中,随着年龄增加,特异性免疫中发挥细胞免疫功能的T细胞不管是在数量上,还是在功能上均发生不同程度的降低。


发挥特异性免疫功能的B细胞数量总体保持稳定,而免疫核心NK细胞亚群中,其数量从青年到老年总体呈增加趋势,中年略有降低;虽然单个细胞功能或有降低,总体功能保持稳定水平。
由此可见,NK细胞尤其在维持中老年人健康,保持抗感染和抗肿瘤功能中发挥着不可替代的作用。因此,针对中老年人,或者亚健康、免疫力低下的人群,进行NK等免疫细胞的回输能够提高个人的身体机能。
NK细胞治疗肿瘤,潜力无限
《临床肿瘤研究》杂志曾发布一项针对肺癌的2期临床试验。Hsp70(热休克蛋白70)在70%左右的中晚期肺癌中高表达,NK细胞在体外先用Hsp70激活,相当于在体外先让NK细胞与未来的敌人先遭遇、先“结仇”,然后回输给病人,让NK细胞在体内正式与癌细胞殊死搏斗——这样一种在体外先用抗原肽刺激、赋予NK细胞一定特异性的作法。
这项临床试验一共入组了16例III期非小细胞肺癌患者,一组接受传统的放化疗综合治疗,一组接受放化疗联合Hsp70预激的NK细胞回输治疗。结果显示:Hsp70预激的NK细胞回输治疗,配合传统的放化疗,可以将1年的生存率从33%翻倍到67%,初步结果振奋人心。

上图展示联合疗法中一个典型的成功案例,治疗1-2个月后复查,肺部肿瘤完全消失,并且疗效已经保持了18个月。
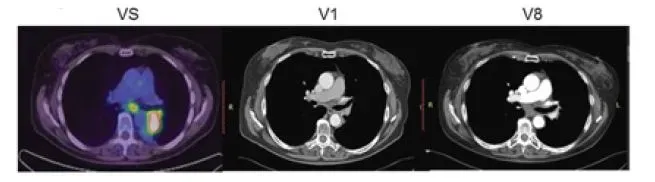
国际权威杂志Cancer Reports上曾发表一个NK细胞治疗III期术后复发的结直肠癌患者的成功案例。
一位64岁女性患者,因肠梗阻和带血腹泻史就医入院。术后病理报告显示横结肠腺癌,淋巴结累及阳性(III期)。按照当时的结直肠癌治疗指南,需要在术后每2周进行FOLFOX辅助化疗方案(5-氟尿嘧啶、亚叶酸钙和奥沙利铂)输注,持续6个月。但是因为患者具有多种过敏史导致了史蒂文约翰逊综合征(药物导致的一种可能危及生命的严重不良反应),无法进行辅助治疗。术后六个月PET随访显示,患者复发。

PE-CT扫描显示患者接受NK细胞治疗后
在医生的建议下,患者接受NK细胞治疗2个周期,二次治疗间隔3个月。随访3年,PET扫描发现没有发生复发的情况,并且患者对治疗耐受良好,没有免疫相关的不良反应。并且在结肠癌手术后3年的临床随访中,患者可以很好地进行日常活动。
LIFE SEEK
写在最后
免疫细胞的活力是抵御疾病、维持健康的基石,其一旦受损便会引发机能衰退。NK细胞作为免疫系统的核心调节者,不仅在日常健康与组织重塑中发挥关键作用,在对抗肿瘤等领域也展现出巨大潜力。因此,维护免疫细胞健康、善用细胞科技,不仅是应对换季的健康策略,更是面向未来迈向主动健康管理的关键一步。
以上内容均源于公开发表的文献、学术会议报道或媒体信息,仅供用户了解细胞行业资讯,内容不代表任何药品推广观点或用药建议,亦不能替代医生的独立专业判断,部分图片来自网络,侵删。
关于生命求索
作为国内实现「细胞技术+AI +临床服务+软硬件解决方案+人才培养」全链条赋能的平台型企业,生命求索依托深厚行业积淀的专家团队与自主创新技术体系,提供细胞产、学、研、用整体解决方案。

科研成果转化主要有:细胞智能方舱实验室、TIL细胞疗法、免疫细胞、干细胞、外泌体等。
旗下大模型平台:LIFESEEK 生命求索--国内基于Deep Seek的细胞产业全链条AI大模型平台。
