长期以来,人们一直认为干细胞可通过中风后脑组织内移植和分化来修复受损细胞提供治疗益处。
脑中风及其后遗症是临床治愈的难点与痛点,因为受损的神经元几乎无法自我修复,而随着干细胞技术的发展,干细胞能再生组织、器官及免疫调节功能得到了更多的场景应用,也为脑中风治疗提供了新途径。
目前的研究报道表示,干细胞主要通过旁分泌作用、组织修复与再生、免疫调节作用以及血管生成,神经保护等作用促进神经组织损伤修复,恢复神经功能,减少脑梗死面积,促进神经和血管生成等,从而发挥治疗缺血性脑卒中的作用。
提起“中风”,大家并不陌生,它已经成为我国十大死因之“头号杀手”。
到底有多“头号”?《新英格兰医学杂志》上的一项数据显示,我国中风风险已占据全球榜首,比例高达39%!每年有196万国人因此去世,这相当于每16秒就有一个中国人死于中风。
而更让人无奈的是,面对致死率如此之高的“脑中风”,临床治疗及预后效果却差强人意,多数中风患者即便康复后再次复发的概率也极高,且复发一次比一次严重,中风后遗症如偏瘫、失语等也给患者和家庭造成很大负担。
提到治疗,干细胞技术的兴起为脑中风带来了很大机遇,中风主要在于受损的神经元无法再生,而干细胞庞大的组织再生修复能力加上旁分泌机制与免疫调节功能,让脑中风治疗有了新转机。
下面,我们就来介绍下近年来干细胞技术在脑中风中的研究应用情况,了解干细胞在神经损伤性疾病中的作用机制,从根源上理解干细胞治疗中风的临床应用价值。
01
偏瘫、失语、半身不遂
中风后遗症“治愈”成难题
脑卒中(中风)是一种急性脑血管疾病,由于脑部血管突然破裂或因血管阻塞导致血液不能流入大脑而引起脑组织损伤的一组疾病,包括缺血性和出血性卒中,其中,缺血性脑卒中约占总体患病人群的75~85%。
通常情况下,脑卒中发生有以下特点:
病程发展快
病情凶险
复发率高
不存在自愈的情况
值得注意的是,脑中风的抢救时间尤其宝贵,每延误1分钟,就会有190万个神经细胞死亡,140亿个突触和7.5英里的神经纤维损失。而每耽搁1小时的救治时间,则会使大脑变老3.6年!
因此,对于脑中风患者来说,每分每秒都是极其宝贵的时间。
但现实往往却最残酷,临床数据显示,脑中风即便是及时抢救过来,复发率也极其高,约50%的患者会在两年内再次发生中风,而且病情一次比一次严重,发病间隔时间也一次比一次更短。

脑中风复发风险高,一些高危人群更值得关注
对于中风治疗,目前使用的最有效的治疗方法是一种被称为组织纤溶酶原激活剂(t-PA)的凝血溶解药物。然而,t-PA必须在中风症状出现后3小时内给予,而即使在3小时内,治愈率也只有十分之一。t-PAs也有其自身的风险,特别是对于那些有出血病史、高血压、最近有过手术或创伤的患者不适用。
还有一种尿激酶溶栓治疗,也可使中风发作之后脑组织再灌注,恢复血液流动,但溶栓治疗本身可导致脑损伤,即脑缺血/再灌注(I/R)损伤。I/R损伤是世界范围内致残、高发病率和高死亡率的主要原因之一。
医学界针对脑卒中的常用治疗手段仍然是药物治疗和手术治疗,但是因为神经损伤具有的不可逆性,现有的治疗手段并不能达到令人满意的效果,这也极大的增加了脑中风患者后遗症、致残的概率和程度。
02
再生修复+旁分泌
干细胞防止中风后进一步脑损伤
中风破坏了原有的大脑神经系统,而神经元几乎无法自我修复,随着干细胞移植技术的发展,干细胞能再生组织、器官及免疫调节功能得到了更多的场景应用,也为脑中风治疗提供了新途径。
针对中风,干细胞主要在哪些方面起作用呢?
目前的研究报道表示,间充质干细胞主要通过旁分泌作用、组织修复与再生、免疫调节作用以及血管生成,神经保护等作用促进神经组织损伤修复,恢复神经功能,减少脑梗死面积,促进神经和血管生成等,从而发挥治疗缺血性脑卒中的作用。
旁分泌功能
这里提到的旁分泌功能,也就是炎症调节,主要是间充质干细胞(MSC)的旁分泌因子,包括外泌体和胞外囊泡,是发挥炎症调节作用的主要因素。
在脑卒中损伤区域,MSC可诱导多种生长因子表达,包括脑源性神经营养因子(BDNF)、血管内皮生长因子(VEGF)、基质细胞源性因子 1(SDF-1)、碱性成纤维细胞生长因子(bFGF)、神经胶质细胞源性神经营养因子和肝细胞生长因子等,通过减少脑梗死面积和恢复神经功能改善脑卒中损伤。

间充质干细胞可通过一系列机制调节炎症
长期以来,人们一直认为干细胞可通过中风后脑组织内移植和分化来修复受损细胞提供治疗益处,而一项来自美国Ochsner-LSU健康科学中心的研究团队的研究发现:干细胞强大的旁分泌功能,对减轻脑卒中后损伤和改善神经功能障碍具有良好的保护作用。

再生修复+旁分泌!《STEM CELLS》:干细胞可防止中风后进一步脑损伤
干细胞可通过旁分泌显著保护大脑免受中风后损伤,这也为缺血性中风提供了创新方法,为中风提供新的治疗策略。
组织修复与再生
另外,间充质干细胞具有促进组织修复和再生的能力,它们可以分化为多种细胞类型,包括神经元和神经胶质细胞,有助于修复受损的神经组织和恢复脑功能。
一项发表于《Cell Stem Cell》的文章讲述了人干细胞来源的神经元修复环路重塑神经功能,通过干细胞修复受损神经性疾病将成为现实。

人类干细胞来源的神经元修复电路和恢复神经功能
通过将分化的多巴胺能神经前体细胞移植到帕金森病小鼠黑质部位,研究者们发现,移植到黑质部位的人多巴胺神经细胞可长出神经纤维,并延伸到纹状体的背侧和腹侧,这说明了移植的神经元特异性的修复和重建了受损的黒质-纹状体神经连接,并且其结构和功能与内源神经连接高度一致。
这为神经元修复带来了可能,也有望为神经元受损的脑中风患者修复脑损伤,干预后遗症带来益处。
免疫调节功能
脑中风发生后,免疫反应会被激活,导致炎症反应和免疫细胞的过度激活,进一步加重脑损伤。而间充质干细胞有助于平衡免疫系统,可以帮助抑制这些过度激活的免疫细胞,减轻炎症反应,从而对脑中风患者的康复起到积极作用。
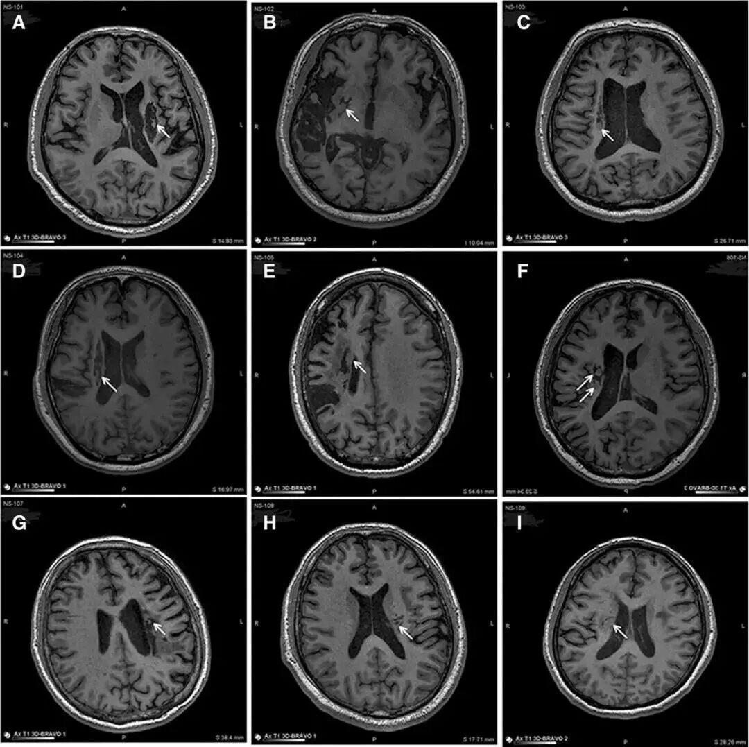
一项研究表明,在9名年龄不等的中风偏瘫患者实验中,应用干细胞移植到脑内梗塞灶取得了一定的临床效益,且连续24个月的随访数据都显示出干细胞的耐受性很好,没有不良并发症,证明了干细胞应用的安全性。

9例患者的影像学显示病变区域的组织都发生了明显变化
他们发现,移植到脑内梗塞病灶的干细胞,通过分化为神经系统的各类细胞、分泌营养因子,促进神经和血管再生,修复受损的血-脑脊液屏障,减轻炎性反应等促进脑梗死动物的神经功能恢复,让9例临床患者偏瘫的症状得到了明显改善。
这也是干细胞发挥免疫调节功能,促进微血管及神经网络修复来干预中风后遗症的关键。
02
干细胞移植治疗脑中风的
安全性及有效性评估
从机制上来说,干细胞是可以干预脑中风及后遗症的,那么在实际的临床疗效中又是怎样的?近年来,干细胞治疗研究快速发展,临床医生也越来越重视干细胞移植治疗脑中风的疗效,而国内利用干细胞治疗脑中风开始的也比较早。
早在2004年就已经开展了首个临床研究,北京武警总医院和哈尔并医科大学第二附属医院共招募患者50名,所有患者进行3次腰椎穿刺蛛网膜下腔植入神经干细胞,术后患者功能独立性评定FIM有显著改善。
2006年,深圳市第六人民医院应用脐血干细胞治疗了64例脑卒中后遗症患者,治疗后两组血清NGF水平明显高于治疗前,且研究组高于对照组,这说明了脐血干细胞移植后能有效提高患者外周血NGF含量,从而支持神经元的营养存活。
2008年,海军总医院科研团队通过脑立体定向移植干细胞治疗了16名脑出血患者,手术后6个月临床症状改善,有效率达81.25%(13例/16例),本组16例术前FIM评分平均为90.21±2.32,术后1个月为92.76±1.89,术后6个月平均为96.37±3.83.各组比较差异有显著性意义。
2011年1月至2013年9月河南大学第一附属医院对100例老年脑出血患者进行分组,两组各50例,治疗组50例在脑出血后6个月在立体定向下行自体干细胞移植治疗,显示两组FIM评分、神经功能缺损评分差异有统计学意义。
2018年,南方医科大学珠江医院的科研团队完成一项为期4年涉及18名患者的研究结果,证明了实验室扩增的自体内皮祖细胞治疗缺血性中风的长期安全性。
截止2022年5月,在美国国立卫生研究院的最大临床试验注册库clinicaltrials.gov网站上注册的有关干细胞治疗脑卒中的临床研究项目有75项。

全球开展干细胞治疗缺血性脑卒中临床试验一览
间充质干细胞移植治疗脑卒中已在基础研究中取得了较为满意的结果,有研究人员纳入的20项临床研究,应用Meta分析评价间充质干细胞移植治疗缺血性脑卒中的安全性及有效性,共计1127例患者,其中573例试验组(间充质干细胞治疗组)和554例对照组(常规治疗组)。

对比常规治疗,间充质干细胞能显著降低1,3,6 个月和1年时的美国国立卫生研究院卒中量表评分,能显著提高1,6个月的日常生活能力指数,能显著提高1,3,6个月时的运动功能评分和功能独立性情况评分。

主要评分指标:(1) 美国国立卫生研究院卒中量表评分 (NIHSS);(2) 日常生活能力指数(BI);(3)运动功能评分(FMA);(4)功能独立性情况评分(FIM);(5)改良Rankin量表评分(mRS)。
对比常规治疗,间充质干细胞治疗脑卒中时能显著降低3个月时的NIHSS评分。
对比常规治疗,间充质干细胞治疗脑卒中3个月时的日常生活能力指数无显著差异。

对比常规治疗,间充质干细胞治疗脑卒中时能显著提高3个月时的运动功能评分。

对比常规治疗,间充质干细胞治疗脑卒中能显著提高3个月时的功能独立性情况评分。

对比常规治疗,间充质干细胞治疗脑卒中3个月时的改良Rankin量表评分未见明显差异。
综上,大量基础实验证明MSC移植疗法在缺血性脑卒中应用中的可行性、有效性,一定程度改善缺血性脑卒中患者的神经功能缺损、运动功能、日常生活能力。

脑中风的治愈一直是再生医学领域的难题,干细胞移植是治疗脑中风中最有前景的方法之一,如今,随着再生医学的发展,越来越多的临床试验结果表明,干细胞在治疗脑中风中能明显改善患者的神经功能,提高生活自理能力,改善患者的生活质量。
同时,试验结果也证明了大多数干细胞移植是安全且有效的,相信未来临床上脑中风的治疗难题终将被攻克!
以上内容均源于公开发表的文献、学术会议报道或媒体信息,仅供用户了解细胞行业资讯,内容不代表任何药品推广观点或用药建议,亦不能替代医生的独立专业判断,部分图片来自网络,侵删。
关于生命求索
作为国内实现「细胞技术+AI +临床服务+软硬件解决方案+人才培养」全链条赋能的平台型企业,生命求索依托深厚行业积淀的专家团队与自主创新技术体系,提供细胞产、学、研、用整体解决方案。

科研成果转化主要有:细胞智能方舱实验室、TIL细胞疗法、免疫细胞、干细胞、外泌体等。
旗下大模型平台:LIFESEEK 生命求索--国内基于Deep Seek的细胞产业全链条AI大模型平台。
